おくだ脳神経外科クリニック|糟屋郡篠栗・篠栗駅近くの脳神経外科・内科【土曜午後診療】
土曜午後も診療
診療科目
脳神経外科・内科| 診療時間 | 月 | 火 | 水 | 木 | 金 | 土 | 日 |
|---|---|---|---|---|---|---|---|
| 8:30-12:30 | ○ | ◎ | ○ | ○ | ○ | ○ | / |
| 13:30-18:00 | ○ | / | ○ | ○ | ○ | ▲ | / |
休診日:火曜午後・日曜・祝日
◎…8:30-13:00 ▲…13:30-16:00※受付時間は診療終了の30分前まで
ご挨拶
当院のホームページをご覧いただき、ありがとうございます。
私の出身は福岡市東区であり、私は九州大学医学部を卒業後、脳神経外科医として救急医療の現場で多くの脳卒中患者様の治療に携わってきました。
特に脳梗塞やくも膜下出血に対するカテーテル治療を専門とし、これまで数多くの患者様の回復を支えてまいりました。
一方で、治療を尽くしても思うように回復できない患者様に出会うこともあり、「脳卒中は何より予防が大切である」と強く実感しています。その思いから、当院では脳卒中予防にも力を入れ、日々の生活や体調の変化からサポートできるクリニックを目指しています。
また、頭痛やめまい、転倒による頭部のけがなど、日常で起こりやすい“困りごと”にも気軽に相談できる場でありたいと考えています。現在、3人の子どもを育てていることもあり、ご家族の不安や気持ちに寄り添い、温かく家庭的な雰囲気で診療することを大切にしています。
当院は、地域の皆様にとって「脳の相談窓口」として、頭のことはどんなことでも気軽に相談できるクリニックでありたいと考えています。地域の皆様のニーズにお応えできるクリニックとなるべく、専門性とやさしさの両方を大切にしながら診療に取り組んでまいります。どうぞお気軽にご相談ください。
当院の特徴

脳神経外科専門医による診察
当院では、脳神経外科専門医が診察・検査・画像の評価まで責任をもって行っています。
頭痛やめまい、しびれなど「脳の病気かどうか不安」といった症状も、専門的な視点で丁寧に診療します。
脳や脊髄、末梢神経の疾患に対して、手術・救急治療・リハビリまで含めた専門的な知識と技術を持つ医師が確かな経験を活かし、安心して相談できる脳神経外科クリニックを目指しています。

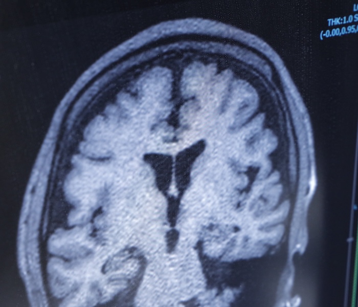
最新の1.5TMRIおよびCTを完備
当院では、MRI、CT画像の精密な読影を行い、脳腫瘍・脳動脈瘤・認知症といったさまざまな脳疾患の 診断・予防・治療まで総合的にサポートします。MRIはAI技術を活用した高画質・短時間撮影が可能で、患者様の負担を軽減しながら、微細な脳構造まで正確に評価します。
また、解析ソフト(VSRAD)を用いた脳の客観的評価により、認知症の早期発見や経過観察、治療方針の立案にも力を入れています。

小さいお子様も診察・検査可能
お子様に多い頭部打撲や転倒時のけがなどを乳幼児から脳神経外科専門医が丁寧に診察します。また、学童期から思春期にかけて多いお子様の頭痛にも対応しており、必要に応じてMRI・CT検査も受けられます。さらに、養護教諭の付き添いによる学校からの受診にも対応しておりますので、安心して受診いただけます。

アクセスの良さ・駐車場の広さ
当院は篠栗の中心、篠栗駅からも近く生活道路沿いに位置しています。駐車場はミスターマックスと共同で数十台駐車可能な広さがあり、車でも安心して来院いただけます。篠栗以外の地域からも、電車・バス・車とさまざまな交通手段で通いやすく、遠方からの患者様にも便利な立地です。

脳ドック
当院の脳ドックは、MRI やエコーなどの精度の高い画像検査を用いて、脳卒中や脳腫瘍、脳動脈瘤などの早期発見を目指します。生活習慣や既往歴をもとにリスク評価を行い、医師による丁寧な診察と生活改善のアドバイスを提供します。症状のない方でも安心して受けられる予防型の脳の健康チェックとして、脳の健康維持をサポートします。




