脳卒中
脳卒中
脳卒中とは脳の血管が詰まったり破れたりすることで、突然、意識障害、手足の麻痺・言語障害などの症状が現れる疾患です。脳は全身の機能を統括する重要な器官であるため、障害が起こると日常生活への影響が大きくなります。脳卒中は日本人の死亡原因の第4位であり、要介護状態の原因の第2位、寝たきりの原因としては一番多いです。脳卒中には3つのタイプがあり、脳梗塞、脳出血、くも膜下出血が含まれます。
これらはいずれも突然発症し、回復に時間を要したり、後遺症が残ったりすることが多いため予防が非常に重要です。当院では脳と脳血管の検査によって脳卒中のリスク評価を行っています。リスクに応じた適切な治療を提供すると同時に、脳卒中の原因となる生活習慣病のコントロールをサポートし、発症予防・再発予防に力を入れています。


脳梗塞とは、脳の血管が詰まって血流が途絶し、その先にある脳組織に酸素や栄養が届かなることで脳細胞が死んでしまう疾患です。脳卒中全体の7割を占めます。脳細胞は一度死滅すると元には戻らないため、その部位が担っていた神経機能(運動・感覚・言語など)が失われます。脳梗塞が起こる仕組みについてはいくつかのパターンがあります。①血管が狭くなったところに血栓などができて血管が詰まるパターン②血栓が別の場所から飛んできて脳の血管を塞ぐパターン、です。前者の代表的なものは動脈硬化により徐々に血管の中が狭くなり血液の巡りが悪くなることで起こる「アテローム血栓性脳梗塞」や血管が一時的に詰まって、血栓が自然に溶けて再開通する「一過性虚血発作」です。脳の小さな血管が詰まって起こる「ラクナ梗塞」も前者に含まれます。後者には心房細動などの不整脈により心臓に血栓ができ、それが何らかのきっかけて剥がれてしまい脳血管に流れて血管を詰めてしまう「心原性脳塞栓症」が含まれます。
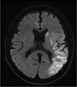
脳梗塞の症状は詰まった血管の場所や太さによって症状が異なるため様々です。脳の太い血管が詰まる重症の脳梗塞では手足は完全に麻痺してしまい、左右どちらかの一点を見つめ、意識が悪くなり呼吸がおかしくなったりします。一方で、ラクナ梗塞などの細い血管のみが詰まって起こる脳梗塞では少し呂律が回らないなど、日常生活が行えるくらい軽症なこともあります。軽症の脳梗塞であっても、脳梗塞は発症してすぐは再発や症状が悪くなる危険性が高く治療や再発予防が必要です。非常に早期の小さな脳梗塞でもMRI検査で見つけられるケースが増えていますので、「脳梗塞かも?」という症状があれば受診してください。
| ラクナ梗塞 | 最も多い脳梗塞のタイプです。脳の中の細い血管が詰まって起こる1.5cm以下の小さな脳梗塞です。軽い麻痺や感覚障害が出ることが多いです。気づかないうちにラクナ梗塞を起こしていることもあります(無症候性脳梗塞)。高血圧や糖尿病などが生活習慣病が原因となります。 |
|---|---|
| 心原性脳塞栓症 | 心房細動などの不整脈が原因で心臓の中に血栓ができ、脳の血管に流れて脳血管が詰まることで起こる脳梗塞です。太い脳血管が閉塞する重症の脳梗塞であることが多く、命に関わることもあります。心電図検査で不整脈が出ていないかを調べることが診断・予防には重要です。 |
| アテローム血栓性脳梗塞 | 脳や首の血管が動脈硬化によってプラークができて狭くなり、脳の血流が悪くなることで起こる脳梗塞です。動脈硬化は高血圧、高コレステロール、喫煙などの生活習慣病によって進行します。生活習慣病を適切にコントロールすることが脳梗塞の予防には重要です。頚動脈エコー検査では首の血管にプラークがないか、プラークが大きくなっていかないかを調べることができます。動脈硬化が進行すると脳梗塞のリスクが高くなるため定期的にエコー検査を受けることも予防につながります。 |
いずれのタイプの脳梗塞においても、
を把握することで、ある程度の発症リスクを予測することができます。
脳梗塞の発症予防・再発予防のには動脈硬化のリスクとなる生活習慣病の治療が何よりも重要です。
脳出血とは、脳の中を走行する細い血管が破けて脳の中に出血し、血の塊(血腫)ができた状態です。血腫は周囲の脳を圧迫し、脳の腫れ(脳浮腫)や脳の壊死を引き起こします。 出血により脳組織の機能が失われ、重大な後遺症や命に関わることがあります。脳出血は脳卒中の2割を占めますが、脳梗塞よりも重症なことが多く、死亡率も高いです。典型的な症状としては片側の手足のしびれや麻痺、感覚障害、言語障害、意識障害などが急に現れることが多いです。
脳出血の最大の危険因子は高血圧であり、長年にわたる高血圧によって細い脳血管の壁がもろくなり破れやすくなることが主な原因です。また、MRI検査で「脳微小出血(小さな出血の痕)」が認められることがあり、これは脳血管の弱い部分で起きたごく小さな出血です。脳微小出血があると、将来の脳出血のリスクが高まる可能性があると考えられています。
予防としては、定期的な血圧測定と管理が重要です。高血圧があれば、減塩などの食事療法、適度な運動、必要に応じた降圧薬の服用により血圧を適切な範囲に保つことが脳出血の発症リスクを大きく下げます。
くも膜下出血は、脳を覆うくも膜と脳表面の間(くも膜下腔)に出血が生じる状態で、主に脳動脈にできた動脈瘤が破裂することによって起こります。脳動脈瘤は血管の壁の弱い部分がこぶ状に膨らんだもので、正常な血管よりも壁が薄く、血圧上昇などが引き金となって破裂しやすくなっています。破裂により大量の血液がくも膜下腔に流入すると、脳の周囲の圧力が急激に上昇し、激しい頭痛、嘔吐、意識障害や昏睡といった症状が突然現れます。脳出血とは異なり、太い動脈からの出血であるため、発症が急激で重篤な状態に陥ることが多いです。
くも膜下出血は生命に関わる重大な疾患で、発症後の死亡率は高く、助かっても重度の後遺症を残すことが少なくありません。発症者のうち約3分の1が死亡し、さらに3分の1が重い後遺症により介護を必要とし、社会復帰できるのはおよそ3分の1程度とされています。くも膜下出血は発症前に脳血管の検査を行うことで動脈瘤を見つけることができ、発症を予防できます。
MRI検査などで偶然見つかる、破裂する前の脳動脈瘤を「未破裂脳動脈瘤」といいます。動脈瘤は大きいほど破裂しやすく、特に5mm以上のものは注意が必要です。また、破裂しやすい動脈瘤の場所や形などもわかってきています。動脈瘤の破裂を予防する治療として
があり、治療法が確立しています。未破裂脳動脈瘤が見つかった場合は、小さくて破裂の危険性の低いものは定期的な検査で経過を観ていくことをお勧めします。破裂リスクが高いと判断された動脈瘤については、治療を検討することが望ましいため専門病院へご紹介させていただきます。
日常生活で心がけること
早期発見と予防に努め、健康な生活を心がけましょう。脳卒中について詳しい情報や診断をご希望の方は、当院にお気軽にご相談ください。
TOP