めまい
めまい
めまいとは、目の前がグルグルと回っているように感じたり、ふわふわと浮いているような感覚がしたりする症状のことです。日常生活の中で突然起こることがあり、年齢を問わず多くの人が経験します。そのため、めまいは「よくあること」と見過ごされがちですが、その原因や種類は多岐にわたるため大きな病気が隠れていることもあります。
めまいの多くは、体のバランスを保つための情報(内耳の平衡感覚・視覚・筋肉や関節からの感覚)が脳で統合される仕組みが乱れることで起こります。めまいにはぐるぐると回るタイプ「回転性めまい」やふわふわ・フラフラするタイプ「浮動性めまい」、立ちくらみのようなめまいなどの種類があり、原因に応じた診療が大切です。
めまいは内耳や平衡感覚を伝える神経の障害が原因の「末梢性めまい」、脳や小脳などの中枢神経の障害が原因の「中枢性めまい」の2つに分類されます。
| 末梢性めまい | 中枢性めまい | |
|---|---|---|
| めまいのパターン | 回転性めまい(ぐるぐる) | 浮動性めまい(ふわふわ) |
| 頻度 | 多い | 少ない |
| 原因 | 平衡感覚に関わる内耳(三半規管)の障害 | 体のバランスに関わる小脳や脳幹の障害 |
| 代表的な病気 | ・良性発作性頭位めまい症 ・メニエール病 ・前庭神経炎 |
・小脳腫瘍 ・小脳出血 ・小脳梗塞 ・脳幹梗塞 |
| 特徴 | 耳から生じるめまいでは命に関わることは少ない | 脳から生じるめまいでは重篤なことが多い |
末梢性めまいは最も頻度の高いめまいであり、三半規管や前庭神経などの内耳(耳の奥)の障害によって起こる「耳から生じるめまい」です。頭の周囲がぐるぐる回るような回転性めまいのことが多いです。
頭を特定の方向に動かした時に起こる、目の前がグルグル回っているように感じる回転性めまいです。急なめまいの中で最も一般的で吐き気を伴うことが多いです。
耳の中には三半規管という頭の傾きや回転の情報を感じ取るバランスのセンサーがあります。三半規管に耳石という小さな粒子が落ち込んで転がることで三半規管の働きが乱れることが原因と言われています。じっとしていると数秒〜数十秒の短い時間で治りますが同じ動きをすると繰り返し起こることがあります。多くの場合、数日〜数週間かけて自然に症状が軽くなっていきます。 吐き気止めや抗めまい薬の内服による症状緩和を行います。また、当院でも行える注射薬や、三半規管に入り込んだ耳石を元の位置に戻すための体操(エプリー法などの頭位変換療法)が症状改善に有効なこともあります。
メニエール病は①回転性めまい②難聴③耳鳴を特徴とする繰り返すめまいです。良性発作性頭位めまい症と違い、片耳の音の聞こえにくさや圧迫感があります。また、キーンといった耳鳴りがあることが多いです。内耳に存在する液体(内リンパ液)が過剰になって起こると言われています。 めまいの発作は通常10分から数時間続き、日常生活に支障をきたすことがあります。内耳の血流を改善する内服薬(ベタヒスチン)や、内耳の過剰になった水を減らすため利尿薬や減塩が有効です。バランス機能を脳が補償するよう訓練する前庭リハビリテーションも有用とされています。
風邪を引いた後に1-2週間して起こることが多い回転性めまいです。めまい自体は1週間程度で改善することが多いですがフワフワとした感覚やふらつきは数週間以上続く場合があります。原因はウイルス感染や血流障害、アレルギーなどと考えられています。治療は安静と抗めまい薬ですが前庭リハビリテーションも効果のある方がいます。
突発性難聴は突然、片耳が聞こえなくなり、耳鳴りやめまいを伴うことがある病気です。めまいや難聴の性状は異なりますが初発のメニエール病と区別が難しいことがあります。すぐにステロイド治療を開始することが聴力回復につながる可能性が高いです。
老化して蛇行した脳血管が前庭神経を圧迫することで生じる難治性めまいの一つです。耳鳴りや短時間のめまい発作を繰り返します。発作は数秒から数分ととても短く1日に何十回も繰り返すことが特徴です。頻度としては少なく、珍しい疾患です。

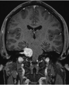
聴神経にできる良性腫瘍です。難聴やめまいが聴神経腫瘍の初期症状として現れることがあります。症状が突発性難聴と似ているため診断にはMRIが重要です。
中枢性めまいは、脳や脳幹の障害によって起こる「脳から生じるめまい」です。揺れるような感覚やふわふわ、ふらふらした不安定感を伴う浮動性めまいのことが多いです。

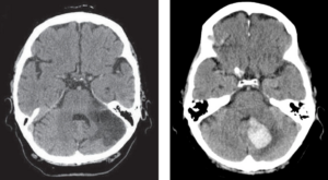
脳梗塞は動脈硬化によって脳血管が詰まった状態、脳出血は血管が破けて出血した状態です。小脳は体のバランスや手足の細かい動きをコントロールする役割があります。その部分に脳梗塞や脳出血が起こるとめまいだけではなく、ろれつが回らない、手足の痺れなどの神経症状がみられることが多いです。

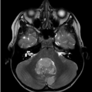
脳腫瘍の初期症状としてめまいやふらつきが現れることがあります。めまいに加えて頭痛や吐き気、歩行時のふらつきや呂律が回らないといった神経症状を伴うことが多いです。
椎骨脳底動脈は脳幹や小脳を栄養する重要な血管です。それらの血管が狭くなったり詰まったりして脳の血流が悪くなった状態です。このめまいは多彩で回転性のことも浮動性のこともあり、立ちくらみのように目の前が暗くなることもあります。MRIで脳の血管を撮影することが診断につながります。
脳の変性とは神経細胞が徐々に機能を失い、壊れていく状態です。高齢の方に多いです。代表的な疾患として脊髄小脳変性症や多系統萎縮症などがあり、MRIで小脳や脳幹の萎縮がみられることがあります。
めまいの一種として立ちくらみもあります。突然、目の前が暗くなったり、気が遠のいたりして立っていられなくなる状態です。血圧が下がることで一時的に脳の血流が低下することで起こります。立ちくらみの原因として以下のようなものがあります。
また、その他にめまいとしては薬剤性めまい、頚性めまい、てんかん、貧血、心因性めまいなどが挙げられます。
当院ではめまいの性状、起こり方などの病歴を丁寧に聴取し診察を行い、めまいの種類や分類を可能な限り見極めることを大切にしています。危険なめまい(脳梗塞や脳腫瘍)を除外する目的で必要があればMRI検査も行えます。
めまいは原因や種類で治療が異なるため一人ひとりに最適な治療方針を立てることが重要です。薬物療法は急性期の症状緩和から再発予防まで幅広く役立ちます。めまいに対する薬剤としては以下のようなものがあります。年齢や生活状況によっても適する薬剤は異なります。
また、平衡感覚を鍛えてめまいになりにくくするために平衡機能訓練や前庭リハビリテーションが有用なこともあります。めまいは症状の緩和だけでなく再発予防・生活の質の向上まで見据えた治療提案を行っています。お気軽にご相談ください。
TOP