頭部外傷
頭部外傷
頭部外傷とは転倒や衝撃により頭や顔を打撲することで、皮下血腫(たんこぶ)、頭部挫創(切り傷)、頭蓋骨骨折を生じうる状態です。重症の場合には、脳そのものが損傷を受けることもあります。脳の損傷は、目にみえる傷やたんこぶ、骨折の有無とは関係なく起こることがあります。
脳の損傷が重い場合は、受傷直後から意識障害や麻痺などの症状が現れることが多いですが、一方で、頭や脳の中で少しずつ出血が進行する場合には、けがをしてから6時間前後など時間が経ってから症状が現れることがあります。そのため、けがから24時間は、意識がもうろうとしていないか、普段と様子は変わりないかなどを注意して観察する必要があります。
特に高齢の方では、受傷後2~3日、さらには1-2か月後に症状が現れることもあります。そのため頭部を強く打った場合は、2~3日間はできるだけ安静にし、出血を助長しやすい飲酒や長時間の入浴は控え、周囲の方による経過観察が必要です。「頭を打ったけど、受診した方がいい?」と迷われる場合でも、少しでも気になる症状があれば遠慮なく受診してください。

急性硬膜下血腫とは強い頭部外傷によって脳と硬膜の間の血管が損傷し、脳の表面に硬い血液が溜まって脳を圧迫する状態です。受傷直後から数時間以内に出血が進行しやすく意識障害や運動麻痺などの神経症状をきたすことがあります。血腫が大きくなると生命の危険が生じるため手術が必要になることが多いです。急性硬膜下血腫は非常に重篤な頭部外傷であり早期診断と治療が予後を左右します。
急性硬膜外血腫とは頭部外傷によって頭蓋骨と脳を包む硬膜の間に急速に血液が溜まって血腫ができた状態です。頭蓋骨の骨折によって傷ついた血管から出血していることが多く、重篤な外傷によって起こります。小児や若年者に多く、高齢者に少ないです。出血が多く、脳の圧迫が強い場合には手術が必要になることがあります。
外傷性くも膜下出血とは頭に強い衝撃を受けることで脳の表面のくも膜下腔の血管が損傷して出血する疾患です。頭部打撲後に頭痛、吐き気が強い場合に見られることがあります。無症状のこともありますが小さな脳挫傷を伴うことも多く、麻痺やけいれんの原因になることがあります。動脈瘤破裂によるくも膜下出血とは異なり、症状は比較的軽く、手術が必要になることは稀です。

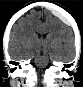
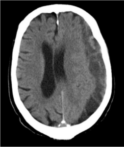
慢性硬膜下血腫は頭部外傷後1〜2ヶ月経って、脳の表面(硬膜下腔)にサラサラの血液がゆっくり溜まって脳を圧迫する疾患です。特に高齢の方、お酒をよく飲む方、血液をサラサラにする薬を飲んでいる方に起こりやすく、軽く頭をぶつけた程度の外傷でも起こることがあります。血腫の量が多いと脳の圧迫が強くなり、片方の手足の動かしにくさ、歩きにくさ、頭痛、認知症など、様々な症状がみられるようになります。これらの症状はゆっくりと現れるため「歩くのが遅くなった」「少し物忘れが増えた」といった変化に気づきにくいこともあります。血腫が小さい場合は自然に吸収されることもあります。しかし血腫が大きくて脳を圧迫し、上記のような症状が出ている場合は治療が必要です。治療は主に手術で、頭蓋骨に小さな穴を開けて血腫を吸い出す手術が行われます。手術を受けると麻痺などの症状は良くなり、後遺症は残らないことが多いです。
脳挫傷とは、交通事故や転倒などで頭を強く打った場合に、脳が頭蓋骨の内部に衝突して脳組織が損傷した状態をいいます。脳が損傷すると、脳内出血や脳浮腫(脳の腫れ)が生じることがあります。こうした病変は受傷直後だけでなく、数時間から数日かけて範囲が拡大することがあるため、観察が必要です。脳機能の低下やてんかん発作、錯乱や認知障害などの症状がみられることがあります。出血や脳浮腫が重篤な場合には手術が検討されることがあります。
脳震盪とはスポーツなどで頭に衝撃を受けたことで脳がふさぶられる状態のことで、意識障害や頭痛、めまい、耳鳴り、脳機能の低下が起こりえます。CT検査やMRI検査などの画像検査では異常が見つからないことが特徴です。症状はしばらくすると治りますが、受傷後、脳が回復しないうちに再び頭部打撲をすると激しい脳浮腫が起こる(セカンドインパクト症候群)と言われています。そのため脳震盪の後は1-2週間は安静にして激しいスポーツなども控える必要があります。
脳浮腫とは、外傷などによって脳の血管が障害され、脳の組織に水分が過剰に溜まることで脳が膨張した状態です。頭蓋骨は限られたスペースしかないため、脳が膨張すると、脳圧が高まり、頭痛や吐き気、意識障害などの様々な症状がみられます。CT検査やMRI検査などの画像検査で状態を確認し、処置が必要な場合は、開頭手術によって脳圧を下げることもあります。
頭部の皮膚は硬い頭蓋骨の上に厚い頭皮として覆われています。そのため、硬い地面や物に頭をぶつけると、頭蓋骨と物に頭皮がはさまれて損傷するため、深い傷(挫創)ができやすくなります。当院では小児、大人に関わらず、頭部や顔面の創傷処置も行っております。傷が気になる場合や傷が深い場合、出血が続く場合は遠慮なく受診してください。
TOP